
Bosniak Kisti Nedir? Güncel Sınıflama ve Tedavi Yaklaşımı
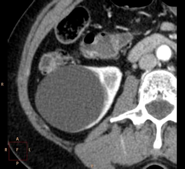
Bosniak kisti, böbreklerde rastlanan kistik lezyonların malignite (kanserleşme) riski açısından değerlendirilmesini sağlayan sistematik bir sınıflamadır. Modern tıpta böbrek kistlerinin ayrımını yapmak, hastaların gereksiz cerrahilerden korunması veya yüksek riskli olguların zamanında tanı alması açısından son derece önemlidir. İlk kez 1986’da Dr. Morton Bosniak tarafından tanımlanan bu sınıflama, 2019 yılında önemli bir revizyon geçirerek hem BT (bilgisayarlı tomografi) hem de MRI (manyetik rezonans görüntüleme) kriterlerini içerecek şekilde genişletilmiştir. Son yıllarda yapılan klinik çalışmalar, özellikle Bosniak sınıf III ve IV kistlerin malignite potansiyeli, takip süresi ve aktif izlem stratejilerinin güvenilirliği konusunda önemli veriler sunmuştur. Bu yazıda, Bosniak kisti nedir, sınıfları nelerdir, nasıl teşhis edilir ve güncel yönetim yaklaşımları nelerdir gibi sorulara bilimsel ve güncel kaynaklara dayalı detaylı bir yanıt verilecektir.

Bosniak Kistlerinin Tanımı ve Tarihsel Gelişimi
Bosniak sınıflaması, böbrek kistlerini anatomik ve radyolojik özelliklerine göre beş temel sınıfa ayırır. Bu sistem, hem görüntüleme teknolojilerinin evrimine paralel olarak güncellenmiş hem de klinik karar algoritmalarını yönlendiren güçlü bir çerçeveye dönüşmüştür.
İlk tanım 1986’da yalnızca kontrastlı BT görüntülemeye dayansa da, zamanla MRI ve kontrastlı ultrason (CEUS) gibi yeni modalitelerle uyumlu hale getirilmiştir. 2019’da yayımlanan Bosniak v2019 güncellemesiyle birlikte, değerlendirme kriterleri daha net tanımlanmış, interdisipliner yorumlama farklılıkları azaltılmış ve özellikle takip edilen (IIF) lezyonlara ilişkin yeni öneriler getirilmiştir.
Bu gelişmeler, hem tanı doğruluğunu artırmış hem de hastaların aşırı tedaviye maruz kalma oranını azaltmıştır.

Bosniak Sınıfları Nelerdir? 2025 Güncel Kılavuzlarına Göre Tanımlar
Bosniak sınıflaması, kistik böbrek lezyonlarını malignite riskine göre 5 ana gruba ayırır:
Sınıf I, II, IIF (izlem gereken), III ve IV.
Bu sınıflama, lezyonun duvar kalınlığı, iç yapısı, kontrast tutma durumu ve solid bileşen içerip içermemesine göre yapılır. Aşağıda her sınıf ayrıntılı olarak açıklanmıştır.
Bosniak Sınıf I: Basit ve İyi Huylu Kistler
- İnce, düzgün duvarlı, içerisinde sadece sıvı bulunan lezyonlardır.
- Kontrast madde tutmazlar.
- Malignite riski yoktur.
- Genellikle yaşla birlikte ortaya çıkarlar ve tedavi gerekmez.
Bosniak Sınıf II: Hafif Kompleks Kistler
- 1–2 ince septa içerebilir, hafif kalsifikasyon görülebilir.
- Sıvı homojen yapıda olup kontrast tutmaz.
- Kanser riski %1’in altındadır.
- Takip gerekmez.
Bosniak Sınıf IIF: İzlem Gerektiren Kistler
- Daha fazla sayıda septa, hafif duvar kalınlaşması ve minimal düzensizlikler içerebilir.
- Hafif kontrast tutulumu olabilir.
- Malignite riski %5–15 arasındadır.
- Yılda bir kez yapılacak görüntülemeyle 5 yıl boyunca takip önerilir.
Bosniak Sınıf III: Şüpheli Kistler
- Belirgin duvar kalınlaşması, düzensiz septalar ve belirgin kontrast tutulumu görülür.
- Malignite riski %50–80 arasındadır.
- Cerrahi değerlendirme genellikle önerilir, ancak düşük hacimli ve küçük boyutlu (≤2 cm) kitlelerde aktif izlem seçeneği de değerlendirilebilir.
Bosniak Sınıf IV: Malignite Şüphesi En Yüksek Olan Kistler
- Sınıf III özelliklerine ek olarak, içerisinde solid (katı) komponentler veya nodüller bulunur.
- Bu yapıların tamamı kontrast madde tutar.
- Kanser riski %85–100 aralığındadır.
- Tedavi genellikle cerrahidir.
Bosniak Kistleri Nasıl Teşhis Edilir? En Etkili Görüntüleme Yöntemleri
Bosniak sınıflandırması genellikle kontrastlı bilgisayarlı tomografi (BT) ile yapılır. Ancak son yıllarda manyetik rezonans görüntüleme (MRI) ve kontrastlı ultrason (CEUS) gibi yeni teknikler de tanıda etkin biçimde kullanılmaktadır.
BT (Bilgisayarlı Tomografi)
- Sınıflamanın altın standardıdır.
- Kontrastlı BT ile septa, kalsifikasyon ve nodül tespiti mümkündür.
MRI (Manyetik Rezonans Görüntüleme)
- Yumuşak doku ayrımında daha hassastır.
- Kontrast tutulumu konusunda BT’ye benzer başarı sağlar.
CEUS (Kontrastlı Ultrason)
- Özellikle Sınıf IIF ve Sınıf III kistlerin izleminde kullanılmaktadır.
- Radyasyon içermez.
- Kısıtlı merkezlerde kullanılmaktadır.
Bosniak Kistlerinde Malignite Riski ve Klinik Anlamı
Güncel veriler, her sınıfın ortalama malignite riskini şöyle göstermektedir:

Bu nedenle özellikle Sınıf III ve IV kistlerde tedavi yaklaşımı çok dikkatli planlanmalıdır.
Bosniak Kistlerinde Tedavi Seçenekleri Nelerdir?
İzlem (Takip)
- Sınıf I, II ve IIF kistlerde tercih edilir.
- Sınıf IIF için 6 ayda bir veya yılda bir görüntüleme ile 5 yıl takip önerilir.
Cerrahi Müdahale
- Sınıf III ve IV kistlerde önerilir.
- Parsiyel nefrektomi (böbreğin bir kısmının alınması) genellikle tercih edilir.
- Tümörün konumu ve büyüklüğüne göre radikal nefrektomi (böbreğin tamamının alınması) de gündeme gelebilir.
Ablatif Tedaviler (Lokal Yıkım Yöntemleri)
- Lazer, radyofrekans veya kriyoablasyon yöntemleriyle kist içeriği yok edilir.
- Genellikle cerrahiye uygun olmayan veya ileri yaştaki hastalarda kullanılır.
Güncel Literatür Ne Diyor?
- 2023 yılında yayınlanan bir sistematik derleme, Bosniak Sınıf IIF kistlerin yalnızca %4.6’sının zamanla ilerlediğini, çoğunluğunun stabil kaldığını ortaya koymuştur.
- 2025’te yapılan retrospektif bir çalışmada, ≤2 cm boyutundaki Sınıf III kistlerin düşük oranda kansere döndüğü ve izlemle yönetilebildiği gösterilmiştir.
- Yeni görüntüleme algoritmaları ve yapay zeka destekli analizler, Bosniak sınıflandırmasında yorum farklılıklarını azaltmakta ve tanı doğruluğunu artırmaktadır.
Sonuç: Bosniak Kistleri Ne Zaman Tehlikelidir ve Ne Zaman Sakin Kalınmalıdır?
Bosniak sınıflandırması, böbrek kistlerinin ciddiyetini belirlemede etkili ve bilimsel bir araçtır. Sınıf I ve II lezyonlar genellikle tedavi gerektirmezken, Sınıf III ve IV kistler daha yakın takip veya müdahale gerektirir. Özellikle son yıllardaki çalışmalar, aktif izlemin birçok olguda güvenli ve etkili bir seçenek olabileceğini göstermektedir. Ancak kist özelliklerine göre her hasta bireysel olarak değerlendirilmelidir.
1. Silverman, S. G., Pedrosa, I., Ellis, J. H., Hindman, N. M., Schieda, N., Smith, A. D., ... & Sanyal, R. (2019). Bosniak classification of cystic renal masses, version 2019: an update proposal for computed tomography and magnetic resonance imaging. Radiology, 292(2), 475–488. https://doi.org/10.1148/radiol.2019182529
2. Schoots, I. G., Zaccai, K., Hunink, M. G., & Verhagen, P. C. (2022). Bosniak classification of renal cysts: a systematic review of interobserver agreement and diagnostic performance. European Urology Oncology, 5(1), 1–11. https://doi.org/10.1016/j.euo.2020.06.010
3. Park, B. K., & Kim, S. H. (2021). Role of contrast-enhanced ultrasound in Bosniak classification: Diagnostic accuracy and recent advances. Ultrasound in Medicine & Biology, 47(9), 2392–2400. https://doi.org/10.1016/j.ultrasmedbio.2021.05.018
4. Petrossian, A., Ghosh, A., & Smith, A. D. (2023). Update on the management of complex renal cysts: What we have learned from Bosniak IIF and III lesions. Current Urology Reports, 24(3), 101–110. https://doi.org/10.1007/s11934-023-01120-8
5. Deleya, M. A., Mahesan, T., Kalavacherla, R., et al. (2025). Active surveillance of Bosniak III and IV cysts: Oncologic outcomes from a multicenter cohort study. Scientific Reports, 15(1), Article 2743. https://www.nature.com/articles/s41598-025-02743-6
6. Xu, X., Liu, Y., Zhang, Y., et al. (2024). Diagnostic accuracy of CEUS-based Bosniak classification in renal cystic lesions: A meta-analysis. Frontiers in Oncology, 14, 1245932. https://doi.org/10.3389/fonc.2024.1245932
7. American College of Radiology (ACR). (2023). ACR Appropriateness Criteria® for the Evaluation of Renal Masses. https://www.acr.org/Clinical-Resources/ACR-Appropriateness-Criteria/Renal-Masses



