
12 Ocak 2018'de, ABD Gıda ve İlaç Dairesi FDA, germline

19 Aralık 2017'de, ABD Gıda ve İlaç İdaresi FDA, yeni

19 Aralık 2017'de ABD Gıda ve İlaç Dairesi FDA, 4.

1 Aralık 2017'de, Amerika Gıda ve İlaç Dairesi FDA, HER2

16 Kasım 2017'de Amerikan Gıda ve İlaç Dairesi FDA, evre

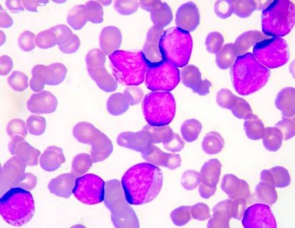
9 Kasım 2017'de, Amerikan Gıda ve İlaç Dairesi FDA, Philadelphia

16 Kasım 2017'de, Amerikan Gıda ve İlaç Dairesi FDA, ameliyatla

6 Kasım 2017'de, Amerikan Gıda ve İlaç Dairesi FDA, 4.

6 Kasım 2017'de, Amerikan Gıda ve İlaç Dairesi FDA, BRAF
Özgeçmişim, kanser tanı ve tedavisine dair çalışmalarım ve ilgi alanlarım için tıklayın.
Kayıt Oldunuz!
Kayıt işleminiz başarı ile gerçekleştirildi, giriş yapabilirsiniz. E-Posta adresinizi doğrulamayı unutmayın!