
Kadınlarda HPV ve Kanser: Belirtiler, Tedaviler ve Önlemler
HPV, birçok alt-türü ile insanlarda siğilden kansere birçok hastalığa neden olan bir virüstür. HPV, genellikle herhangi bir belirti göstermeyen çok yaygın bir enfeksiyona neden olur; toplumun neredeyse %80'e yakınında herhangi bir HPV enfeksiyonu bulunur. Bununla birlikte, yüksek riskli HPV türlerinin vücutta uzun süre kalması, enfekte hücrelerin değişmesine ve kontrolsüz bir şekilde bölünmesine yol açarak kanser gelişimine katkıda bulunabilir. Aşı ile önleme bu nedenle çok önemlidir.
Tüm kanserlerin yaklaşık %5'i HPV ile ilişkilidir. HPV, özellikle rahim ağzı kanserinin %99'unun nedeni olarak bilinir. Ayrıca, anal, penis, vulvar, vajinal ve orofaringeal (baş-boyun) kanserlerin de önemli bir bölümüne yol açar. Bu nedenle, HPV aşısı ve düzenli taramalar ile erken teşhis, bu kanser türlerinin önlenmesinde ve tedavisinde önemlidir.
HPV enfeksiyonları genellikle 2 yıl için bağışıklık sistemimiz ile vücuttan atılır. Bununla birlikte, belirli HPV suşları birkaç yıl boyunca devam ederse, kansere neden olan hücre değişikliklerine neden olabilirler.
Bu makale, HPV'nin farklı belirtilerini, bazı tedavi seçeneklerini ve bazı önleme yöntemlerini özetleyecektir.
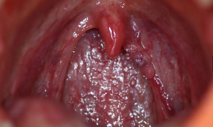
HPV Belirtilerinin Resimleri
İnsan papilloma virüsü (HPV) enfeksiyonu, cinsel organlarda ve boğazda siğillerin oluşmasına neden olabilir.
Yukarıda, küçük dilin sağ tarafında (karşıdan bakıldığında) HPV'nin neden olduğu orofaringeal siğil görülebilir.
Yukarıda, HPV ilişkili serviks (rahim ağzı) lezyonları görülebilir.
HPV Nasıl Yayılır?
HPV, cinsel ve samimi cilt teması yoluyla yayılır.
200'den fazla farklı HPV türü vardır; bunların 40'tan fazlası insanda enfeksiyon yapar. Farklı HPV türleri farklı riskler taşır.
Düşük riskli HPV nadiren kansere dönüşür, ancak genital siğiller gibi cinsel organlar ve anüs çevresinde belirtilere neden olabilir . Ancak bu belirtiler her zaman görünür değildir. Örneğin anüs, vajina veya serviks içinde meydana gelebilirler.

Yüksek riskli HPV herhangi bir belirti göstermeyebilir. Ancak vücutta uzun süre kalmaya devam ederse, aşağıdakiler de dahil olmak üzere birkaç kansere neden olabilir:
HPV'nin herhangi bir belirtiye neden olup olmadığı, yüksek veya düşük riskli olup olmadığı ile ilgili değildir. Kanser riskini veya varlığını belirlemenin tek yolu mikroskobik inceleme ve laboratuvar testidir.
İlgili konu: HPV – Kanser yapıcı bir virüsün bağışıklık sisteminden kaçma serüveni
Serviks (Rahim Ağzı): HPV ve Kanser Belirtileri
Bir kadın sahip olduğu HPV türüne bağlı olarak, farklı belirtiler gösterebilir.
HPV riski düşükse rahim ağzında siğiller gelişerek tahrişe ve ağrıya neden olabilir. Bazı insanlarda bu siğiller kanamaya neden olabilir.
Yüksek riskli HPV genellikle başlangıç belirtileri göstermez. Bununla birlikte, virüs vücutta uzun yıllar kalırsa, enfekte hücreler değişebilir ve kontrolsüz bir şekilde bölünmeye başlayabilir. Bu süreç kansere götürebilir.
İlgili konu: Pap smear test sonucunun anormal olması ne demektir?
Erken rahim ağzı kanseri veya kanser öncesi hücrelerin varlığı herhangi bir belirtiye neden olmayabilir. Bu nedenle, kadınların yaşlarına ve diğer risk faktörlerine bağlı olarak her 3-5 yılda bir Pap veya HPV DNA testi yaptırması önemlidir.
İlerlemiş rahim ağzı kanserinin bazı belirtileri şunları içerir:
- seks sırasında ağrı
- pelvik (kasık) bölgede ağrı
- vajinadan olağandışı akıntı
- seks sonrası gibi olağandışı kanama
Daha ilerlemiş rahim ağzı kanserinin bazı belirtileri şunları içerir:
- kilo kaybı
- zor idrara çıkma ve bağırsak hareketleri
- idrarda kan
Vajina ve Vulva: HPV ve Kanser Belirtileri
HPV vajinadaki ve vulva çevresindeki hücreleri enfekte edebilir. Bir kadının HPV riski düşükse, vulvada siğiller görebilirler.
Bu siğiller şu şekilde ortaya çıkabilir:
- karnabahar gibi görünen kümelenmiş cilt lezyonları
- etkilenmemiş ciltten daha koyu olan dağınık bir cilt alanı
- ciltten kabarın, düz, pürüzsüz veya pürüzlü olabilen büyüme
Siğiller genellikle düşük riskli HPV'nin göstergesidir. Vulva kanseri türü karnabahar benzeri büyüme olarak ortaya çıkabilir, bu nedenle bir kişi vulva çevresinde olağandışı bir büyüme görürse bir doktorla konuşmalıdır.
Tedavi edilmezse yüksek riskli HVP vajinal veya vulva kanserine neden olabilir. Kadınlar, kanser öncesi hücrelere sahip olduklarında veya vajinal veya vulvar kanserin erken evrelerinde herhangi bir semptom yaşamayabilir.
Pap testi, hücrelerin kanser öncesi olup olmadığını belirleyebilir, bu nedenle kadınların yaklaşık 3-5 yılda bir düzenli Pap testleri yaptırması önemlidir. Bir doktor, prekanseröz (kanser öncüsü) hücreler için vajina ve serviksi kontrol ederken vulvayı inceleyecektir. Renk değişikliği, yaralar ve yumrular gibi belirli cilt değişikliklerine dikkat edeceklerdir.
Bir kişinin Pap testine ne sıklıkla ihtiyaç duyduğu, yaşına ve diğer risk faktörlerine bağlıdır.
Vajinal kanserin bazı belirtileri şunları içerir:
- seks sonrası kanama
- olağandışı akıntı
- vajinada bir yumru
- seks yaparken ağrı
Vulva kanserinin bazı belirtileri şunları içerir:
- daha açık veya daha koyu bir cilt yaması
- renksiz bir yumru veya yumru
- cildin kalınlaşması
- kaşıntı
- ağrı
- kanama
- bir ay içinde iyileşmeyen açık bir yara
Ağız İçi ve Boğaz: HPV ve Kanser Belirtileri
Düşük riskli HPV'si olan biri, bademciklerin yakınında boğazın arkasında ve dilin tabanında siğiller fark edebilir. HPV oral seks yoluyla bu bölgelere yayılabilir.
Bununla birlikte, bir kişi yüksek riskli HPV'ye sahipse, orofaringeal (ağız-boğaz) kanser geliştirebilir.
Orofaringeal kanserin bazı belirtileri:
- kalıcı boğaz ağrısı
- kulak ağrısı
- ses kısıklığı
- şişmiş lenf düğümleri
- yutmada ağrı
- açıklanamayan kilo kaybı
HPV'nin Kadın Sağlığı Üzerindeki Etkileri Nelerdir?
HPV çok yaygındır. Aslında, cinsel olarak aktif hale gelen hemen hemen herkes bu virüse yakalanır ve bu enfeksiyonların yaklaşık yarısı yüksek risk tipindedir.
Genellikle bir kişinin bağışıklık sistemi HPV enfeksiyonunu kontrol altında tutar veya tamamen ortadan kaldırır. Dünya Sağlık Örgütü'ne (DSÖ) göre, HPV enfeksiyonlarının yaklaşık %90'ı 2 yıl içinde geçer.

Ancak bazen yüksek riskli HPV türü yıllarca devam edebilir ve bu kansere yol açabilir.
Yüksek riskli HPV, kadınlarda tüm kanserlerin %3'ünün nedenidir. HPV ayrıca rahim ağzı kanserinin %99'unun nedenidir. Özellikle HPV 16 ve 18, rahim ağzı kanserlerinin ve kanser öncesi lezyonların %70'ine neden olur.
HPV Tedavisi
HPV'nin tedavisi yoktur. Doktorlar yalnızca HPV'nin neden olduğu koşulları tedavi edebilir ve kanserli veya kanser öncesi görünen hücreleri çıkarabilir.
Bir doktor genital siğilleri şu şekilde tedavi edebilir:
- reçeteli ilaçlar
- kriyocerrahi (dondurarak tahrip etme)
- lazerler veya elektrik akımları
- ameliyat
Doktorlar genellikle rahim ağzındaki prekanseröz (kanser öncüsü) değişiklikleri, elektrik akımı taşıyan ince bir tel ilmek anormal dokuyu ortadan kaldıran döngü elektrocerrahi eksizyon prosedürü (LEEP) ile tedavi eder.
İlgili konu: Konizasyon nedir, nasıl yapılır?
Diğer dokulardaki kanser öncesi değişiklikleri şu şekilde tedavi edebilirler:
- etkilenen bölgeye uygulanan ilaçlar
- LEEP
- ameliyat
- kriyocerrahi
Bir kişi HPV'nin bir sonucu olarak kanser geliştirirse, o kanser için ameliyat, radyoterapi, kemoterapi, akıllı ilaç ve immünoterapiyi içeren bir tedavi görecektir.
HPV Aşısı ile HPV'den Korunma
Küresel olarak, HPV'nin önlenmesi çok önemlidir. DSÖ'ye göre, rahim ağzı kanseri dünya çapında kadınlarda en sık görülen dördüncü kanserdir.
DSÖ, rahim ağzı kanserine neden olan HPV suşlarına karşı aşılamayı şiddetle tavsiye etmektedir. Ayrıca 9-14 yaş arası kız çocuklara aşı yapılmasını ve 30 yaş ve üstü kadınlara servikal tarama yapılmasını önermektedir. Bazı ülkeler artık erkek çocukları da aşılamaktadır.
HPV aşıları, ikili, dörtlü ve dokuzlu aşılar olmak üzere çeşitli tiplerde mevcuttur. Gardasil ve Cervarix, yaygın olarak kullanılan HPV aşı markalarıdır. Her 3 aşı da ülkemizde bulunmaktadır.

HPV Aşısı Ne zaman ve Ne Sıklıkta Yapılmalı?
ABD CDC (Hastalık Kontrol ve Önleme Merkezleri) şunları önermektedir:
- 11 - 12 yaş arası tüm kız ve erkek çozukların 2 doz HPV aşısı ile aşılanmalı. İlk doz, rutin olarak 11-12 yaşlarında önerilmektedir. Aşılama 9 yaşında başlayabilir. İlk doz ile ikinci doz arasında 6-12 ay olabilir.
- Aşılama başlatılan 15 ila 26 yaş arası gençler ve genç yetişkinler, altı ay içinde üç doz almalıdır.
- İkili ve dörtlü aşı 26 yaşına kadar uygundu. Dokuzlu aşı ise 45 yaşına kadar yapılabilir.
HPV'nin Erkek Sağlığı Üzerine Etkileri Nelerdir?
HPV, erkeklerde de yaygın bir enfeksiyondur ve hem düşük hem de yüksek riskli türleri bulunmaktadır. Erkeklerde HPV enfeksiyonları genellikle belirtisiz olup, bağışıklık sistemi tarafından kontrol altına alınabilir ve zamanla ortadan kaldırılabilir. Bununla birlikte, bazı durumlarda HPV, erkeklerde de ciddi sağlık sorunlarına yol açabilir.
-
Genital siğiller: Düşük riskli HPV türleri, erkeklerde genital siğillerin oluşumuna neden olabilir. Bu siğiller penis, skrotum, anüs veya kasık bölgesinde ortaya çıkabilir.
-
Kanser: Yüksek riskli HPV türleri, erkeklerde kansere yol açabilir. En yaygın HPV ile ilişkili kanserler arasında anal, penis ve orofaringeal (baş-boyun) kanserler bulunmaktadır. Yüksek riskli HPV türlerinin vücutta uzun süre kalması, enfekte hücrelerin değişmesine ve kontrolsüz bir şekilde bölünmesine yol açarak kanser gelişimine katkıda bulunabilir.
-
Orofaringeal kanser: Yüksek riskli HPV türlerine bağlı olarak, erkeklerde orofaringeal (ağız ve boğaz) kanser riski artar. Bu kanserin belirtileri arasında kalıcı boğaz ağrısı, kulak ağrısı, ses kısıklığı, şişmiş lenf düğümleri, yutmada ağrı ve açıklanamayan kilo kaybı bulunmaktadır.
-
HPV'nin erkeklerdeki etkilerini azaltmak ve önlemek için aşılama önemlidir. HPV aşısı, erkeklerin bağışıklığını yüksek riskli HPV türlerine karşı güçlendirir ve kanser gelişim riskini azaltır.

1. Bosch, F. X., Lorincz, A., Muñoz, N., Meijer, C. J., & Shah, K. V. (2002). The causal relation between human papillomavirus and cervical cancer. Journal of clinical pathology, 55(4), 244-265. https://jcp.bmj.com/content/55/4/244
2. Doorbar, J., Egawa, N., Griffin, H., Kranjec, C., & Murakami, I. (2015). Human papillomavirus molecular biology and disease association. Reviews in Medical Virology, 25(S1), 2-23. https://onlinelibrary.wiley.com/doi/full/10.1002/rmv.1822
3. Schiller, J. T., Castellsagué, X., & Garland, S. M. (2012). A review of clinical trials of human papillomavirus prophylactic vaccines. Vaccine, 30, F123-F138. https://www.sciencedirect.com/science/article/pii/S0264410X12013069



